近日,我院依托多学科协作机制,成功为一名胸部外伤致右主支气管完全断裂的患者,开展院内首例 V-V ECMO(静脉 - 静脉体外膜肺氧合)辅助下肺叶切除联合支气管吻合术。标志着我院在危重症救治与胸外科复杂手术领域实现新突破。
危急病情:车祸致多器官损伤,转院抢救
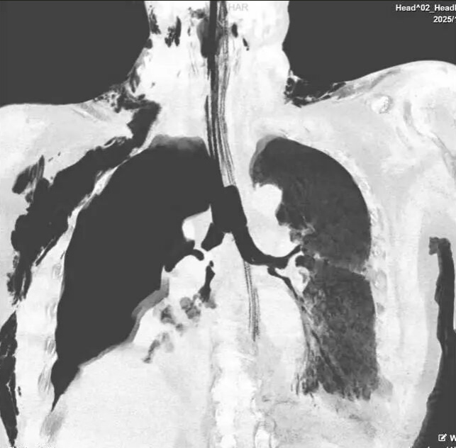
患者为中老年男性,因车祸引发严重胸部外伤,受伤后迅速出现呼吸困难。外院急诊胸部 CT 检查提示,患者疑似支气管断裂、双侧多发肋骨骨折及肩胛骨骨折,病情危急。经我院胸外一科丁翔副主任会诊评估后,患者在气管插管呼吸机辅助呼吸状态下,由 120 紧急转入我院重症医学科(RICU)接受进一步抢救。
多学科会诊:制定 ECMO 辅助手术方案
入院后,RICU 余述凤主任立即组织团队为患者行床边气管镜检查,明确诊断为 “右主支气管完全断裂”。随后,医院医务科迅速牵头启动多学科(MDT)讨论,RICU、胸外科、生命支持中心、麻醉科、介入肺脏科 / 内镜中心、呼吸科、影像科、手术室等科室专家共同研判病情。
专家团队指出,患者右侧肺因支气管断裂已完全萎陷,无通气功能,仅靠左侧肺维持呼吸,且在呼吸机纯氧支持下,血氧饱和度仍仅能维持在 80% 左右。若采用常规麻醉与单肺通气手术,患者极可能出现严重低氧血症及循环多脏器衰竭;而术前建立 V-V ECMO 支持,可为术中提供稳定的呼吸与循环保障,降低手术风险。最终,多学科团队确定了 ECMO 辅助下的手术方案。
精准操作:ECMO 护航,3 小时完成高难度手术
方案确定后,余述凤主任带领由孔浩博、赵飞、叶全组成的 ECMO 团队,与胸外科团队同步进入手术室。术前,ECMO 团队快速完成 V-V ECMO 上机操作,患者血氧饱和度随即从 80% 升至 99%,低氧血症得到即时纠正。
在 ECMO 持续辅助下,胸外一科丁翔副主任团队在王保明主任指导下开展胸腔探查,进一步证实 “右主支气管完全断裂、右上肺实变无功能”。历经 3 小时精细操作,手术团队成功为患者实施 “右肺上叶切除 + 右中间段支气管、右主支气管断端吻合术”。
术后恢复:次日撤离ECMO,恢复良好
术后,患者返回 RICU 继续监护治疗。重症团队通过动态监测病情、调整治疗方案,在评估患者符合撤机条件后,于术后第二天成功为其脱离 ECMO 支持并拔除管路,患者生命体征保持平稳。截至目前,患者已顺利撤除呼吸机,可自主下床活动,恢复情况良好。
此次首例 ECMO 辅助下支气管断裂吻合术的成功,充分体现了我院危重症救治体系的成熟完善、ECMO 技术团队的精湛专业及胸外科团队的高超手术能力。科主任余述凤表示,将继续秉承 “以患者为中心” 的服务理念,推进危重症多学科协作救治体系建设,为更多危重患者搭建生命支持桥梁。
学科介绍:
我院ECMO 团队由多名经专业培训的医护人员组成,首期核心成员(重症医学科孔浩博医师、叶全护士)曾赴复旦大学中山医院体外循环中心系统进修,另有多名医护人员在省内重症医学科进修,已熟练掌握 ECMO 建立、维持及撤机全过程的临床管理要点。后续科室还将持续选派医护人员外出深造,进一步提升 ECMO 技术水平与重症救治能力。(供稿:重症医学科)
加入收藏


OA入口